Viendo más allá de tu boca…
Realizamos diferentes tipos de radiografías
img09

Radiografía Interproximal

Muestra las porciones de la corona de los dientes superiores e inferiores.

View more
img09

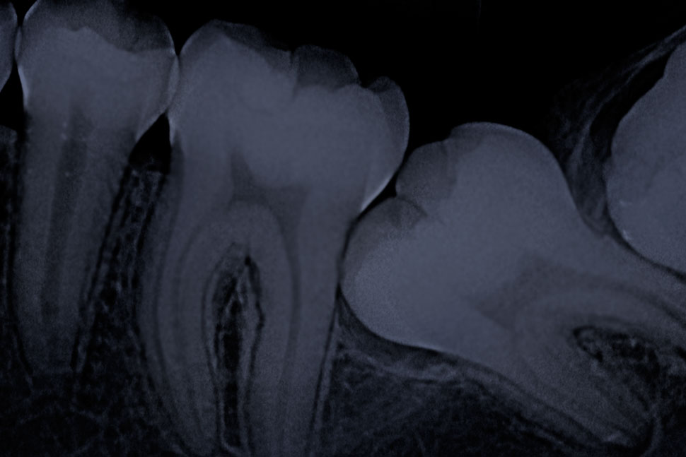
Radiografía Periapical

Enseña uno o dos dientes completos desde la raíz hasta la corona.

View more
img09

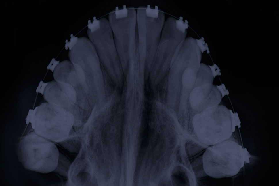
Radiografía Palatal u Oclusal

Captura todos los dientes superiores e inferiores en una sola toma.

View more